
Невринома слухового нерва — доброкачественное новообразование VIII черепного нерва, состоящее из клеток шванновской оболочки.
Клинически проявляется понижением слуха, шумом и звоном в ухе, вестибулярными расстройствами на стороне поражения, симптомами сдавления лицевого, тройничного, отводящего нервов, мозгового ствола и мозжечка, признаками внутричерепной гипертензии и гидроцефалии.
Невринома слухового нерва диагностируется благодаря рентгенографии височных костей, МРТ или КТ головного мозга. В зависимости от размеров образования возможно его хирургическое и радиохирургическое удаление, радиотерапия. В отдельных случаях целесообразно наблюдение за опухолью в динамике и решение вопроса о тактике лечения только при выявлении прогрессирующего роста образования.
VIII пара ЧМН — преддверно-улитковый, или слуховой, нерв состоит из вестибулярной и слуховой частей. Первая несет в церебральные центры информацию от вестибулярных рецепторов улитки, вторая — от слуховых.
В подавляющем большинстве случаев невринома развивается в вестибулярной части преддверно-улиткового нерва, а симптомы поражения слухового отдела связаны с его сдавлением опухолью.
Вблизи преддверно-улиткового нерва проходят: ствол лицевого нерва (VII), тройничный нерв (V), отводящий (IV), языкоглоточный (IX) и блуждающий (X) нервы . По мере роста невриномы в клинической картине могут возникать симптомы сдавления этих нервов, а также прилежащих структур ствола мозга.
Невринома слухового нерва берет начало из шванновских клеток, окружающих аксоны нервных волокон. В связи с этим в практической неврологии она также известна как вестибулярная (акустическая) шваннома.
Частота встречаемости опухоли примерно 1 заболевший на 100 тыс. человек, такое соотношение Вы можете встретить в литературе по невриноме. Последние исследования сильно скорректировали эту статистику.
Если Вы дожили до 70 лет, то вероятность иметь невриному слухового нерва у Вас будет существенно выше 500 человек на 100 тыс. населения (исследования ретроспективного анализа всех пациентов Минессота с 1 января 1966 по 31 декабря 2016 года).
И почему больше неврином обнаруживается у молодых и красивых женщин, чем у мужчин? На этом графике того самого исследования вы видите подтверждение, но с 55 лет мужчины начинают догонять и перегонять по невриномам женщин в популяции.
При этом невринома слухового нерва составляет 12-13% всех церебральных опухолей и примерно 1/3 от опухолей задней черепной ямки. Она развивается преимущественно в возрасте 30-40 лет. Не отмечено ни одного случая заболевания у детей допубертатного периода.
Этиология неврином слухового нерва пока остается неопределенной. Односторонние невриномы носят спорадический характер, их прямая связь с какими-либо этиофакторами не прослеживается.
Двусторонние невриномы наблюдаются у многих пациентов с нейрофиброматозом II типа — генетически обусловленном заболевании, для которого типичны доброкачественные опухолевые процессы различных тканевых структур нервной системы (нейрофибромы, глиомы, менингиомы, невриномы). Нейрофиброматоз наследуется аутосомно-доминантным путем, риск заболевания потомства при наличии патологического гена у обоих родителей составляет 50%.
Патогенетически выделяют 3 стадии развития вестибулярной шванномы. В первой небольшие размеры образования (до 2,5 см) приводят к нарушению слуха (тугоухости) и вестибулярным расстройствам. Во второй новообразование вырастает до размеров грецкого ореха, оказывает давление на ствол мозга, что приводит к появлению нистагма, дискоординации движений и расстройства равновесия.
В третьей стадии, когда невринома достигает размеров куриного яйца, она вызывает резкое сдавление церебральных структур, гидроцефалию, нарушения зрения и глотания. На этой стадии в тканях головного мозга происходят необратимые изменения, опухоль иноперабельна и является причиной летального исхода.
Хоть Вы ее никогда и не увидите, разве только на своих снимках, или посмотрев видео нейрохирургической операции, не мешает знать что же она из себя представляет как структурное образование.
Макроскопически (внешний вид) новообразование представляет собой округлый или неправильной формы плотный узел с бугристой поверхностью. Снаружи оно имеет соединительнотканную капсулу, внутри могут встречаться локальные или диффузные кистозные полости, наполненные коричневатой жидкостью. Цвет образования на срезе зависит от его кровоснабжения: обычно бледно-розовый с ржавыми участками, при венозном застое — синюшный, при кровоизлияниях в ткань невриномы — буро-коричневый.
Микроскопически (на уровне клеток) невринома слухового нерва состоит из клеток, ядра которых напоминают палочки. Эти клетки образуют структуры по типу палисадов, между которыми наблюдаются участки, состоящие из волокон. По мере роста опухоли в ней наблюдаются процессы фиброзирования, образование отложений гемосидерина.
Диагностику проводит отоневролог, при его отсутствии невролог совместно с отоларингологом. В некоторых ситуациях дополнительно требуется консультация вестибулолога, офтальмолога и стоматолога. Пациенту проводят неврологическое обследование, аудиометрию, отоскопию, электрокохлеографию, электронистагмографию, исследование слуховых ВП, вестибулометрию, стабилографию.
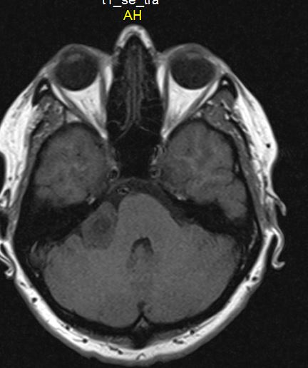
Более точно установить диагноз «невринома слухового нерва» помогает рентгенография и методы нейровизуализации. На ранних стадиях при малых размерах невриномы (до 1 см) она, как правило, не визуализируется при помощи КТ головного мозга. Поэтому проводят рентгенографию черепа с прицельным снимком височной кости. В подтверждение диагноза вестибулярной шванномы свидетельствует расширение внутреннего слухового прохода. Поскольку невриномы хорошо поглощают контраст, возможно использование КТ с контрастированием. При этом визуализируется образование с четкими гладкими контурами.
МРТ головного мозга в случае невриномы выявляет на Т1-взвешенных снимках гипо- или изоинтенсивное, а на Т2-взвешенных - гиперинтенсивное образование. Для опухолей размером 3 и более см характерна гетерогенность сигнала, связанная с наличием в них кистозных участков. Возможна визуализация деформации ствола мозга и мозжечка. При проведении контрастной МР-томографии в 70% наблюдается гетерогенное накопление контраста.
Радикальным методом лечения является удаление невриномы, которое может быть проведено открытым хирургическим способом или методами радиохирургии. Хирургическое удаление целесообразно при большой опухоли, при выявлении увеличения ее размеров в динамике наблюдений, при росте невриномы после радиохирургического вмешательства. Зачастую следствием операции являются глухота и парез лицевого нерва. Стереотаксическое радиохирургическое удаление возможно для неврином размером менее 3 тд Также оно проводится у пожилых больных при продленном росте после субтотальной резекции и в случаях, когда риск операции значительно повышен из-за соматической патологии.
Лучевая терапия невриномы имеет показания, сходные с показаниями к радиохирургии. Облучение не является способом удаления образования, но предотвращает его дальнейший рост и позволяет избежать операции. Пациентам со случайно выявленной при КТ или МРТ невриномой без клинической симптоматики, больным с длительно существующими расстройствами слуха и пожилым больным с слабой симптоматикой показана выжидательная тактика с постоянным контролем размеров образования и динамики клинических симптомов.